Hoe herkent uw specialist artrose in het talo-naviculaire gewricht?
Röntgenfoto geeft duidelijk beeld
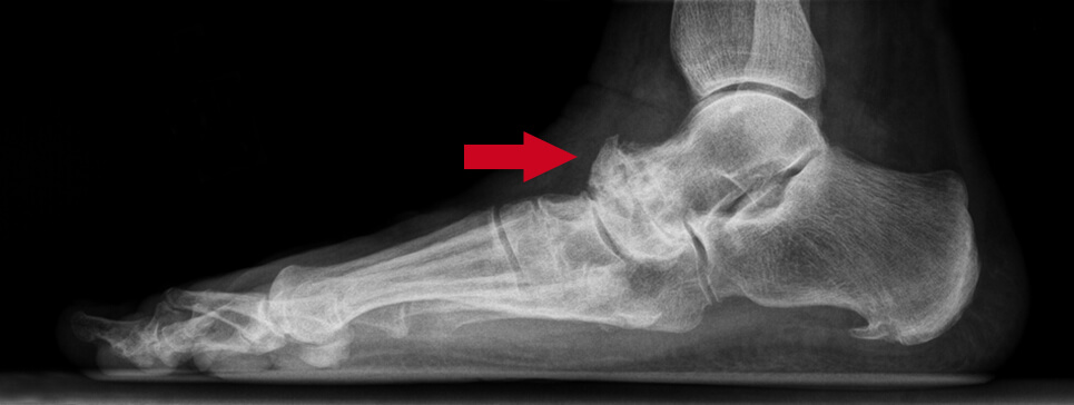
Op basis van de klachten, medische geschiedenis en lichamelijk onderzoek van de patiënt kan vaak al veel duidelijkheid worden verkregen. Omdat er verschillende gewrichten dicht bij elkaar liggen rondom de enkel, kan het voor de patiënt moeilijk zijn om te bepalen welk gewricht precies de oorzaak is van de klachten. Een röntgenfoto biedt meestal goede zichtbaarheid om te bepalen of er sprake is van slijtage en welk(e) gewricht(en) zijn aangetast. In sommige gevallen kan een CT-scan nodig zijn om de diagnose met meer zekerheid te stellen. Een echo kan worden gebruikt om artroseverschijnselen te detecteren langs de gewrichtsranden.


Facebook