Slijtage in het talo-naviculaire gewricht

Artrose in het talo-naviculaire gewricht veroorzaakt pijn en stijfheid bij het buigen van de voet. Slijtage belemmert soepel bewegen op oneffen ondergrond.

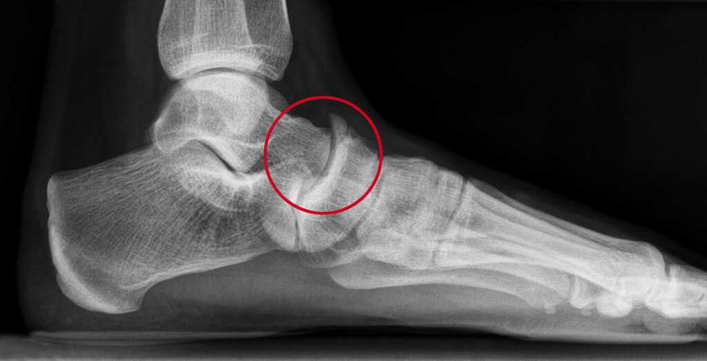
Artrose (slijtage) in het talo-naviculaire gewricht

Wat is het talo-naviculaire gewricht?

Het talo-naviculaire gewricht is het gewricht tussen de voorkant van het sprongbeen (talus) en het zogenaamde scheepsvormig beentje (naviculare). U gebruikt dit gewricht bij het naar binnen en buiten buigen van de voorvoet, zoals bij lopen op oneffen terrein.

Wat is artrose in het talo-naviculaire gewricht?

Bij artrose is er sprake van slijtage van het kraakbeen in het gewricht. Kraakbeen is nodig om de botten soepel langs elkaar te laten bewegen. Slijtage is normaal bij het ouder worden, maar bij artrose is de slijtage aan het kraakbeen overmatig. Het gladde oppervlak wordt dun, brokkelig of het kraakbeen verdwijnt helemaal. Hierdoor komt er steeds meer wrijving tussen de botten en dat doet pijn. Het lichaam kan de slijtage niet meer repareren.

Als de artrose erger wordt, kunnen aan de randen van het gewricht ook botuitstulpingen ontstaan, deze heten osteofyten. Die maken het bewegen extra moeilijk en pijnlijk.

Artrose van het talo-naviculaire gewricht

In dit hoofdstuk

Oorzaken van slijtage in het talo-naviculaire gewricht

Artrose kan ontstaan door een ongeluk met de voet waarbij u bijvoorbeeld uw enkel, hielbeen of het sprongbeen breekt, of wanneer u uw enkel meerdere malen verstuikt.

Lees meer

Klachten van slijtage in het talo-naviculaire gewricht

Specifiek voor artrose rond de enkel gelden de volgende symptomen. Hoeveel klachten artrose rond de enkel geeft en hoe snel de klachten zich ontwikkelen verschilt erg per persoon.

Lees meer

Diagnose van slijtage in het talo-naviculaire gewricht

De klachten, de voorgeschiedenis en lichamelijk onderzoek van de patiënt geven vaak al veel duidelijkheid. Omdat rondom de enkel verschillende gewrichten dicht bij elkaar zitten, is het voor u als patiënt niet makkelijk te herkennen van welk gewricht uw klachten afkomstig zijn.

Lees meer

Behandelmogelijkheden van slijtage in het talo-naviculaire gewricht

Er wordt altijd eerst geprobeerd de klachten te verhelpen met een niet-operatieve behandeling. Er zijn verschillende soorten behandelingen mogelijk voor talo-naviculaire artrose.

Lees meer

Over drs. W. Metsaars

Over dokter Metsaars

Drs. W. Metsaars is een ervaren orthopedisch chirurg die sinds 2013 volledig gespecialiseerd is in voet- en enkelklachten. Zij heeft uitgebreide expertise opgebouwd en behandelt patiënten met uiteenlopende voet- en enkelproblemen, zowel uit Nederland als internationaal.

Lees meer

Onze patiënten aan het woord

Bekijk alle ervaringen

  • Ervaring van T. Hatchuel

    De operatie en het herstel vielen 100% mee. Geen pijn gehad en nu weer gewoon schoenen aan. Voor mij is het een succes!

  • Ervaring van Pien Goemans

    Geen pijn meer, een toonbare voet én een mooi litteken. Het resultaat overtreft al mijn verwachtingen.

  • Ervaring van Clara

    Zonder pijn en met topzorg hersteld van hallux valgus. Inmiddels weer aan het trainen voor de Dam-tot-Damloop!

  • Ervaring van Suzan

    Twee operaties in één keer, alles strak geregeld. De operatiedag zelf voelde verrassend prettig. Ik kijk er goed op terug.

  • Ervaring van Sonja

    Na jaren pijn werd eindelijk de oorzaak gevonden: een zenuwgezwel. Dankzij goede echo’s kon ik snel verder geholpen worden.

  • Ervaring van Paulien

    Na drie operaties ben ik altijd pijnvrij geholpen, met nauwelijks zichtbare littekens. Geweldige zorg en resultaat!

  • Ervaring van Joke Wesseling

    Zeer geslaagde operatie, nauwelijks pijn gehad. Heldere begeleiding en goede service. Ik liep direct weer op gewone schoenen.

  • Ervaring van H. de Jong

    Na jaren pijn en verkeerde diagnoses kan ik eindelijk weer hardlopen – helemaal pijnvrij en ontzettend blij!

  • Ervaring van Jolanda

    Nog nooit zulke mooie én pijnvrije voeten gehad. Ik ben ontzettend blij dat ik deze stap heb gezet.

arrow_circle_left arrow_circle_right

Veelgestelde vragen

Bekijk meer vragen

Zijn alle zorgverleners in het diagnosecentrum paramedisch hoog opgeleid?

Ja, alle zorgverleners zijn paramedisch hoog opgeleid gespecialiseerd in voet- en enkelklachten.

Consult aanvragen Consult aanvragen