Opereren bij artrose aan het talo-naviculaire gewricht
Wanneer niet-operatieve behandelingen niet meer helpen
Bij de zogenaamde talo-naviculaire artrodese-operatie wordt het scheepsvormig been aan het sprongbeen vastgezet, waardoor de botten aan elkaar groeien en het (pijnlijke) gewricht niet meer kan bewegen. De operatie duurt ongeveer een uur en wordt uitgevoerd onder algehele narcose of met een ruggenprik.
Tijdens de operatie wordt een snee in de huid gemaakt aan de buitenzijde van de enkel. Het beschadigde kraakbeen van het gewricht wordt volledig verwijderd. Vervolgens worden de botten stevig aan elkaar bevestigd met één of meerdere schroeven. In gevallen waarin veel bot is aangetast door de artrose, kan soms een bottransplantatie nodig zijn. Hierbij zal de specialist waarschijnlijk een stukje van uw eigen bot gebruiken, meestal uit uw onderbeen, hielbeen of bekken.


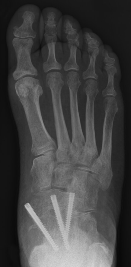
Op de röntgenfoto's ziet u dat het sprongbeen met drie schoeven aan de talus is vastgezet.
Over het algemeen is een talo-naviculaire artrodese-operatie een succesvolle ingreep. Na de operatie zult u over het algemeen aanzienlijk minder pijn ervaren. Het talo-naviculaire gewricht wordt nu gefixeerd, waardoor de beweging van de achtervoet iets beperkter is in zijwaartse kanteling (links en rechts). Dit kan enige uitdaging veroorzaken bij het lopen op oneffen terrein, zoals in het bos of op het strand. Het is belangrijk om bij het neerzetten van uw voet en uw houding goed in de gaten te houden. Het is echter vermeldenswaard dat de meeste mensen vóór de operatie al beperkte bewegingsmogelijkheden hadden als gevolg van de artrose.
Het is nog steeds mogelijk om de voet naar boven en beneden te buigen, wat de beweging is die nodig is tijdens het lopen en afzetten.

Facebook