Letsel
Slijtage door schade
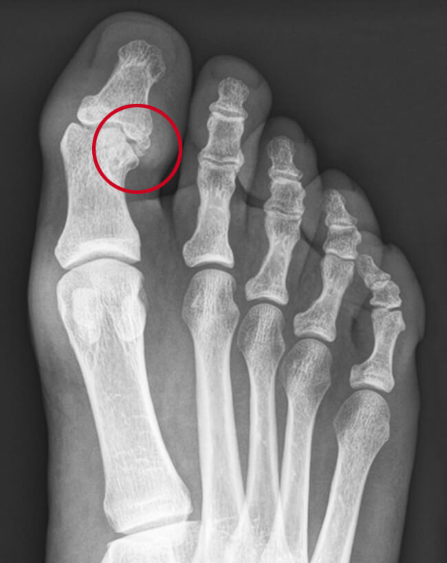
Artrose kan ontstaan door een ongeluk met de voet waarbij u bijvoorbeeld uw grote teen breekt. Als de breuk door het gewricht tussen de teenkootjes loopt, kan kraakbeenschade ontstaan. Of het teenkootje kan scheef komen te staan waardoor het kraakbeen extra snel slijt. Dit heet posttraumatische artrose en kan jaren na de breuk alsnog optreden.

In dit IP-gewricht ziet u aan de rechterzijde een oude vastgegroeide breuk waardoor het gewricht scheef is gaan staan. Er bevindt zich een klein stukje bot in het gewricht. Er heeft zich tevens aan de bovenzijde een bult op het gewricht gevormd.

Facebook