Afwijkende stand grote teen
Het IP-gewricht onder druk
Als de grote teen erg omhoog of juist omlaag staat, wordt het IP-gewricht extra belast. Het IP-gewricht duwt dan tegen de boven- of juist de onderkant van de schoen. Door de extra druk slijt het gewricht eerder.
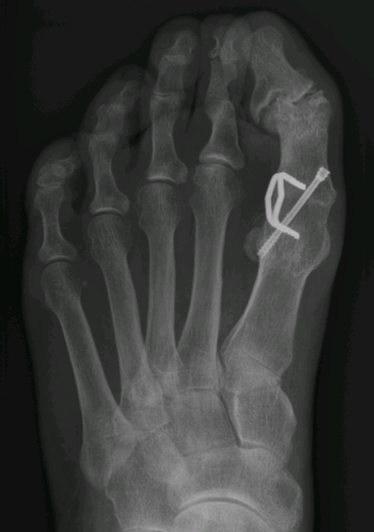
Een omhoog of omlaag staande grote teen komt soms voor na een operatie waarbij het gewricht tussen de voet en de grote teen is vastgezet (MTP-I artrodese), bijvoorbeeld bij ernstige slijtage in dit gewricht.
Als het grote teen gewricht is vastgezet, wordt het IP gewricht (het 'buurgewricht') extra belast. De grote teen kan niet alleen niet meer omhoog en omlaag bewegen, ook zijdelingse bewegingen gaan niet meer. Hierdoor kan er in de schoen meer druk komen op de grote teen. De stand van het IP gewricht van de grote teen kan (door de druk van de schoen) geleidelijk veranderen.
![]() |
![]() |
![]() |
![]() |
Bij deze vrouw is geleidelijk slijtage en vervorming van het IP gewricht ontstaan, jaren nadat de grote teen operatief was vastgezet.



Facebook