Behandelingen met operatie
Vastzetten van het IP-gewricht
Wanneer de behandeling zonder operatie niet genoeg helpt en u heeft veel klachten, dan kan opereren een oplossing zijn. Het IP-gewricht wordt vastgezet. U kunt prima functioneren met een stijf IP-gewricht en u kunt de voet nog normaal afwikkelen.
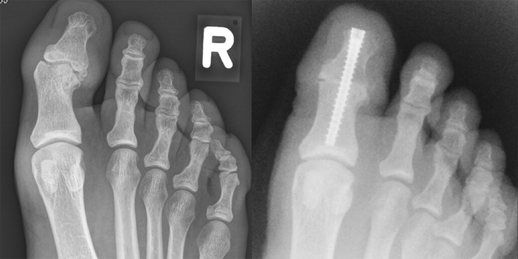
Het vastzetten van het IP-gewricht gebeurt tijdens een dagbehandeling. Verdoving gebeurt met een ruggenprik of onder algehele narcose. De operatie duurt ongeveer een half uur. De chirurg maakt een snee bovenop de teen, en een klein sneetje op de teentop. Het resterende kraakbeen wordt uit het gewricht verwijderd. Daarna worden de botdelen op elkaar geschroefd via de teentop (zie foto). Omdat er wat bot en kraakbeen wordt weggehaald, wordt de grote teen door deze ingreep een paar millimeter korter.
Over het algemeen is het vastzetten van het IP-gewricht een succesvolle operatie. Na de operatie heeft u veel minder pijn, en de grote teen staat in een betere stand, waardoor de voet beter kan worden afgewikkeld.

Op de röntgenfoto links ziet u de voet voor de operatie, op de foto rechts de voet na de operatie.


Foto’s van de voet voor de operatie (boven) en na de operatie (onder). De teen staat rechter en de bult is weg.

Niet alleen bij een versleten gewricht, maar ook bij een extreem gebogen gewricht wat niet op een andere manier recht te krijgen valt kan het kromme gewricht vast gezet worden. Deze tiener had een kromstand die niet te corrigeren was en die pijnklachten gang als hij schoenen droeg. Ook had hij pijnklachten op het topje van zijn grote teen.

Dezelfde voet na de operatie
Hersteltijden en complicaties
Lees hieronder meer over het herstel en de complicaties van een operatieve behandeling van artrose in het IP-gewricht.

Facebook