Het gewricht is pijnlijk en dik
De botdelen zijn niet goed vastgegroeid
De bedoeling van de operatie was om het gewricht van de grote teen (het MTP-I-gewricht) vast te zetten. Het (resterende) kraakbeen is uit het gewricht gehaald en de botdelen zijn aan elkaar vastgezet met schroeven of met een plaat en schroeven. Daarna moeten de botdelen aan elkaar vastgroeien. Soms groeien de botdelen niet (goed) aan elkaar. Vlak na de operatie, wanneer de voet nog in het gips zit, geeft dit meestal nog geen klachten, maar in de loop van de tijd gaan de schroeven steeds losser in het bot zitten en kunnen de botdelen weer een beetje gaan bewegen. Zodra de voet een paar dagen uit het gips is, gaat de grote teen pijn doen, en zwelt deze op.
Uw specialist kan op een röntgenfoto zien of de botten goed aan elkaar zijn vastgegroeid.

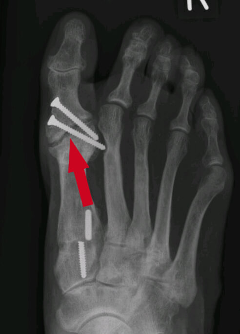
Bij deze patiënt is het gewricht ondanks de schroeven niet vastgegroeid. De spleet (bij de pijl) had niet meer zichtbaar moeten zijn.
Hoe komt het dat het gewricht soms niet goed vastgroeit?
Er zijn meerdere oorzaken waardoor het gewricht van de grote teen niet goed vastgroeit:
- Er zijn problemen met de kwaliteit van het bot of de doorbloeding;
- De patiënt heeft onvoldoende rust (kunnen) houden;
- De operateur heeft de grote teen niet stabiel genoeg vastgezet;
- Er is een (laaggradige) infectie opgetreden;
- Er is (nog) geen duidelijk aanwijsbare oorzaak.

Facebook