Behandelingen met operatie
Operatieve behandeling van de stugge platvoet bij kinderen
Als rust met gips toch niet helpt, kan een operatie een uitkomst bieden. Bij een stugge platvoet zijn twee operaties mogelijk:

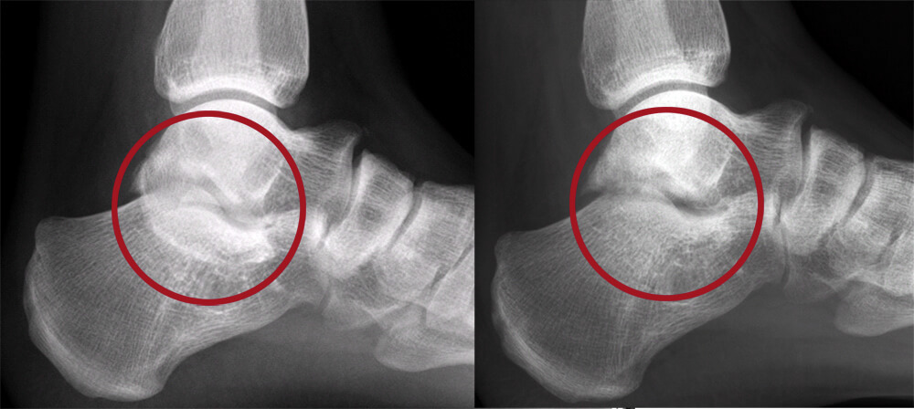
Bij deze patiënt is de vergroeiing tussen het sprongbeen en het hielbeen operatief verwijderd.

Facebook